Publications
The validation status of blood biomarkers of amyloid and phospho-tau assessed with the 5-phase development framework for AD biomarkers.
Ashton NJ, Leuzy A, Karikari TK, Mattsson-Carlgren N, Dodich A, Boccardi M, Corre J, Drzezga A, Nordberg A, Ossenkoppele R, Zetterberg H, Blennow K, Frisoni GB, Garibotto V, Hansson O. Eur J Nucl Med Mol Imaging. 2021 Jul;48(7):2140-2156. doi:...
The diagnostic and prognostic capabilities of plasma biomarkers in Alzheimer’s disease.
Simrén J, Leuzy A, Karikari TK, Hye A, Benedet AL, Lantero-Rodriguez J, Mattsson-Carlgren N, Schöll M, Mecocci P, Vellas B, Tsolaki M, Kloszewska I, Soininen H, Lovestone S, Aarsland D; AddNeuroMed consortium; Hansson O, Rosa-Neto P, Westman E, Blennow K, Zetterberg...
Association of plasma P-tau181 with memory decline in non-demented adults.
Therriault J, Benedet AL, Pascoal TA, Lussier FZ, Tissot C, Karikari TK, Ashton NJ, Chamoun M, Bezgin G, Mathotaarachchi S, Gauthier S, Saha-Chaudhuri P, Zetterberg H, Blennow K, Rosa-Neto P; Alzheimer’s Disease Neuroimaging Initiative. Brain Commun. 2021 Jun...
A multicentre validation study of the diagnostic value of plasma neurofilament light.
Ashton NJ, Janelidze S, Al Khleifat A, Leuzy A, van der Ende EL, Karikari TK, Benedet AL, Pascoal TA, Lleó A, Parnetti L, Galimberti D, Bonanni L, Pilotto A, Padovani A, Lycke J, Novakova L, Axelsson M, Velayudhan L, Rabinovici GD, Miller B, Pariante C, Nikkheslat N,...
Effects of pre-analytical procedures on blood biomarkers for Alzheimer’s pathophysiology, glial activation, and neurodegeneration.
Ashton NJ, Suárez-Calvet M, Karikari TK, Lantero-Rodriguez J, Snellman A, Sauer M, Simrén J, Minguillon C, Fauria K, Blennow K, Zetterberg H. Alzheimers Dement (Amst). 2021 Jun 2;13(1):e12168. doi: 10.1002/dad2.12168. eCollection 2021.
Plasma p-tau231: a new biomarker for incipient Alzheimer’s disease pathology.
Ashton NJ, Pascoal TA, Karikari TK, Benedet AL, Lantero-Rodriguez J, Brinkmalm G, Snellman A, Schöll M, Troakes C, Hye A, Gauthier S, Vanmechelen E, Zetterberg H, Rosa-Neto P, Blennow K. Acta Neuropathol. 2021 May;141(5):709-724. doi: 10.1007/s00401-021-02275-6. Epub...
Head-to-head comparison of clinical performance of CSF phospho-tau T181 and T217 biomarkers for Alzheimer’s disease diagnosis.
Karikari TK, Emeršič A, Vrillon A, Lantero-Rodriguez J, Ashton NJ, Kramberger MG, Dumurgier J, Hourregue C, Čučnik S, Brinkmalm G, Rot U, Zetterberg H, Paquet C, Blennow K. Alzheimers Dement. 2021 May;17(5):755-767. doi: 10.1002/alz.12236. Epub 2020 Nov 30.
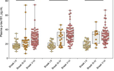
Plasma levels of phosphorylated tau 181 are associated with cerebral metabolic dysfunction in cognitively impaired and amyloid-positive individuals.
Lussier FZ, Benedet AL, Therriault J, Pascoal TA, Tissot C, Chamoun M, Mathotaarachchi S, Savard M, Ashton NJ, Karikari TK, Rodriguez JL, Snellman A, Bezgin G, Kang MS, Fernandez Arias J, Wang YT, Gauthier S, Zetterberg H, Blennow K, Rosa-Neto P; Alzheimer’s Disease...
Longitudinal Associations of Blood Phosphorylated Tau181 and Neurofilament Light Chain With Neurodegeneration in Alzheimer Disease.
Moscoso A, Grothe MJ, Ashton NJ, Karikari TK, Lantero Rodríguez J, Snellman A, Suárez-Calvet M, Blennow K, Zetterberg H, Schöll M; Alzheimer’s Disease Neuroimaging Initiative. JAMA Neurol. 2021 Apr 1;78(4):396-406. doi: 10.1001/jamaneurol.2020.4986.
Plasma pTau181 predicts cortical brain atrophy in aging and Alzheimer’s disease.
Tissot C, L Benedet A, Therriault J, Pascoal TA, Lussier FZ, Saha-Chaudhuri P, Chamoun M, Savard M, Mathotaarachchi SS, Bezgin G, Wang YT, Fernandez Arias J, Rodriguez JL, Snellman A, Ashton NJ, Karikari TK, Blennow K, Zetterberg H, De Villers-Sidani E, Huot P,...
Plasma neurofilament light and phosphorylated tau 181 as biomarkers of Alzheimer’s disease pathology and clinical disease progression.
Clark C, Lewczuk P, Kornhuber J, Richiardi J, Maréchal B, Karikari TK, Blennow K, Zetterberg H, Popp J. Alzheimers Res Ther. 2021 Mar 25;13(1):65. doi: 10.1186/s13195-021-00805-8.
Synedrella nodiflora Extract Depresses Excitatory Synaptic Transmission and Chemically-Induced In Vitro Seizures in the Rat Hippocampus.
Amoateng P, Tagoe TA, Karikari TK, Kukuia KKE, Osei-Safo D, Woode E, Frenguelli BG, Kombian SB. Front Pharmacol. 2021 Mar 8;12:610025. doi: 10.3389/fphar.2021.610025. eCollection 2021.
Population-based blood screening for preclinical Alzheimer’s disease in a British birth cohort at age 70.
Keshavan A, Pannee J, Karikari TK, Rodriguez JL, Ashton NJ, Nicholas JM, Cash DM, Coath W, Lane CA, Parker TD, Lu K, Buchanan SM, Keuss SE, James SN, Murray-Smith H, Wong A, Barnes A, Dickson JC, Heslegrave A, Portelius E, Richards M, Fox NC, Zetterberg H, Blennow K,...
Time course of phosphorylated-tau181 in blood across the Alzheimer’s disease spectrum.
Moscoso A, Grothe MJ, Ashton NJ, Karikari TK, Rodriguez JL, Snellman A, Suárez-Calvet M, Zetterberg H, Blennow K, Schöll M; Alzheimer’s Disease Neuroimaging Initiative. Brain. 2021 Feb 12;144(1):325-339. doi: 10.1093/brain/awaa399.
Diagnostic performance and prediction of clinical progression of plasma phospho-tau181 in the Alzheimer’s Disease Neuroimaging Initiative.
Karikari TK, Benedet AL, Ashton NJ, Lantero Rodriguez J, Snellman A, Suárez-Calvet M, Saha-Chaudhuri P, Lussier F, Kvartsberg H, Rial AM, Pascoal TA, Andreasson U, Schöll M, Weiner MW, Rosa-Neto P, Trojanowski JQ, Shaw LM, Blennow K, Zetterberg H; Alzheimer’s Disease...
Association between polygenic risk score of Alzheimer’s disease and plasma phosphorylated tau in individuals from the Alzheimer’s Disease Neuroimaging Initiative.
Zettergren A, Lord J, Ashton NJ, Benedet AL, Karikari TK, Lantero Rodriguez J; Alzheimer’s Disease Neuroimaging Initiative*; Snellman A, Suárez-Calvet M, Proitsi P, Zetterberg H, Blennow K. Alzheimers Res Ther. 2021 Jan 8;13(1):17. doi: 10.1186/s13195-020-00754-8.
Novel tau biomarkers phosphorylated at T181, T217 or T231 rise in the initial stages of the preclinical Alzheimer’s continuum when only subtle changes in Aβ pathology are detected.
Suárez-Calvet M, Karikari TK, Ashton NJ, Lantero Rodríguez J, Milà-Alomà M, Gispert JD, Salvadó G, Minguillon C, Fauria K, Shekari M, Grau-Rivera O, Arenaza-Urquijo EM, Sala-Vila A, Sánchez-Benavides G, González-de-Echávarri JM, Kollmorgen G, Stoops E, Vanmechelen E,...
Extensive Plasmid Library to Prepare Tau Protein Variants and Study Their Functional Biochemistry.
Karikari TK, Keeling S, Hill E, Lantero Rodrı Guez J, Nagel DA, Becker B, Höglund K, Zetterberg H, Blennow K, Hill EJ, Moffat KG. ACS Chem Neurosci. 2020 Oct 7;11(19):3117-3129. doi: 10.1021/acschemneuro.0c00469. Epub 2020 Sep 16.
Plasma p-tau181 accurately predicts Alzheimer’s disease pathology at least 8 years prior to post-mortem and improves the clinical characterisation of cognitive decline.
Lantero Rodriguez J, Karikari TK, Suárez-Calvet M, Troakes C, King A, Emersic A, Aarsland D, Hye A, Zetterberg H, Blennow K, Ashton NJ. Acta Neuropathol. 2020 Sep;140(3):267-278. doi: 10.1007/s00401-020-02195-x. Epub 2020 Jul 27.
Diagnostic and prognostic value of serum NfL and p-Tau181 in frontotemporal lobar degeneration.
Benussi A, Karikari TK, Ashton N, Gazzina S, Premi E, Benussi L, Ghidoni R, Rodriguez JL, Emeršič A, Simrén J, Binetti G, Fostinelli S, Giunta M, Gasparotti R, Zetterberg H, Blennow K, Borroni B. J Neurol Neurosurg Psychiatry. 2020 Sep;91(9):960-967. doi:...
Understanding the Pathophysiological Actions of Tau Oligomers: A Critical Review of Current Electrophysiological Approaches.
Hill E, Wall MJ, Moffat KG, Karikari TK. Front Mol Neurosci. 2020 Aug 20;13:155. doi: 10.3389/fnmol.2020.00155. eCollection 2020.
Blood phosphorylated tau 181 as a biomarker for Alzheimer’s disease: a diagnostic performance and prediction modelling study using data from four prospective cohorts.
Karikari TK, Pascoal TA, Ashton NJ, Janelidze S, Benedet AL, Rodriguez JL, Chamoun M, Savard M, Kang MS, Therriault J, Schöll M, Massarweh G, Soucy JP, Höglund K, Brinkmalm G, Mattsson N, Palmqvist S, Gauthier S, Stomrud E, Zetterberg H, Hansson O, Rosa-Neto P,...
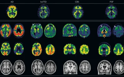
An update on blood-based biomarkers for non-Alzheimer neurodegenerative disorders.
Ashton NJ, Hye A, Rajkumar AP, Leuzy A, Snowden S, Suárez-Calvet M, Karikari TK, Schöll M, La Joie R, Rabinovici GD, Höglund K, Ballard C, Hortobágyi T, Svenningsson P, Blennow K, Zetterberg H, Aarsland D. Nat Rev Neurol. 2020 May;16(5):265-284. doi:...
Construction and reconstruction of brain circuits: normal and pathological axon guidance.
Roig-Puiggros S, Vigouroux RJ, Beckman D, Bocai NI, Chiou B, Davimes J, Gomez G, Grassi S, Hoque A, Karikari TK, Kiffer F, Lopez M, Lunghi G, Mazengenya P, Meier S, Olguín-Albuerne M, Oliveira MM, Paraíso-Luna J, Pradhan J, Radiske A, Ramos-Hryb AB, Ribeiro MC,...
The C291R Tau Variant Forms Different Types of Protofibrils.
Karikari TK, Thomas R, Moffat KG. Front Mol Neurosci. 2020 Mar 18;13:39. doi: 10.3389/fnmol.2020.00039. eCollection 2020.
Serum Glial Fibrillary Acidic Protein (GFAP) Is a Marker of Disease Severity in Frontotemporal Lobar Degeneration.
Benussi A, Ashton NJ, Karikari TK, Gazzina S, Premi E, Benussi L, Ghidoni R, Rodriguez JL, Emeršič A, Binetti G, Fostinelli S, Giunta M, Gasparotti R, Zetterberg H, Blennow K, Borroni B. J Alzheimers Dis. 2020;77(3):1129-1141. doi: 10.3233/JAD-200608.
Introduction of Tau Oligomers into Cortical Neurons Alters Action Potential Dynamics and Disrupts Synaptic Transmission and Plasticity.
Hill E, Karikari TK, Moffat KG, Richardson MJE, Wall MJ. eNeuro. 2019 Oct 15;6(5):ENEURO.0166-19.2019. doi: 10.1523/ENEURO.0166-19.2019. Print 2019 Sep/Oct.


























